Kennedy Ann Elizabeth Huber

October 10, 2005

She tried so hard.

Her story
Kristin, age five, looking down at her baby sister Kennedy in the hospital

Kristin meets her baby sister.

Listen

Hear Kennedy's Story

A narrated version of this story, read as her father wrote it.

Full narration with Kennedy's heartbeat recordings
· · ·
Chapter One

The Call

The first time I remember learning about Kennedy's fate was at 3:15 in the afternoon, and I was on the toilet, believe it or not. I can't say for sure whether I was already in there when the call came, or if I went in after I had talked to the doctor. But when the doctor calls, it doesn't matter where you are — you answer.

I remember the doctor's words. Kennedy wasn't going to make it. I should do a D&C. There had been an ultrasound a day or so earlier, and the technician seemed startled — that much stuck with me. Maybe I have the timing backwards, but something was off, and I knew it. There were signs, things they pointed out — the banana sign, and others I can't fully recall now.

Still, when the doctor told me it wasn't clear, not confirmed but probable, I told myself I didn't believe it. Not to me. Not to my daughter. Not to my baby. I already had Kristin, and she was wonderful. She needed a sister. This wasn't supposed to happen. I was angry at the doctor for even suggesting it.

So I didn't.

Time moved forward, and more tests came. The FISH test, others I can't exactly remember. Eventually, the diagnosis came: Trisomy 18. That's why the earlier prognosis of "not viable" had been given. I remember looking it up. What I found was grim. Almost every baby with Trisomy 18 died before their first birthday. The rare few who lived longer were severely disabled.

But by then, I was already too far along.

I went to Phoenix Children's Hospital. I met with doctors there — I don't remember their names. One of them eventually signed Kennedy's death certificate. They became people I could text, two women, NICU doctors. I still remember the room where I met them. Every time I drive past Phoenix Children's now, I think of that room.

It was a consultation room of sorts. Two women sat with me, women who looked like they might drive Subarus. They already knew the charts, the diagnosis, the weight of it. They were worried. Concerned. They didn't have to say much — it was written all over their faces.

They told me I had a choice. I was there alone, and they explained what the probable outcome would be. And I cried with them, the three of us. Not because they didn't know — they did. But because they knew that I didn't.

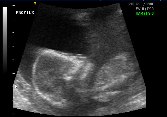
Ultrasound — Kennedy's profile, May 23, 2005
Profile — May 23, 2005
Ultrasound — Kennedy's face
Face
Ultrasound — Kennedy's lips
Lips
Ultrasound — It's a girl
It's a girl.
· · ·
Chapter Two

The Diagnosis

Yesterday we went into the Perinatologist to have a level two ultrasound performed. The tech was very nervous and was unsure about a few things. I was sure what was wrong after about ten minutes. When the tech left the room I mentioned it lightly to Bertha and we waited for the doctor to return.

He returned with the worst news I have ever heard in my life. Kennedy had multiple problems. A genetic defect. Spina bifida. A cyst on the brain. Clenched fists. Clubbed foot. The banana sign. A heart defect. They asked us to perform an amniocentesis, which we did.

The doctor thought Kennedy might be Trisomy 18. In a typical pregnancy, every cell in a baby's body has two copies of chromosome 18. In Trisomy 18, there are three. That one extra copy disrupts nearly everything — the heart, the lungs, the kidneys, the brain, the bones. It is also called Edwards syndrome. Most babies with T18 do not survive pregnancy. Of those who are born alive, most do not live beyond their first year. There is no treatment. There is no cure. There is only time, and how you choose to spend it.

Bertha and I vowed to do everything we could for Kennedy.

A few days later, the call came. The FISH results were in — the test was definitive. Kennedy had Trisomy 18. She would not survive.

We were told, not in a suggestive way, that there were doctors who would perform a D&C at that point. It was mentioned, only. We would not do that. We agreed that we were going to carry to term, or as long as we were allowed.

What did that mean? It meant that Bertha would wait for the time to come. Each day she would wait for a kick from Kennedy. "I am still here," Kennedy would need to say before her mother could relax for that day.

That week, I ordered a fetal heart monitor from BabyBeat. For fifty dollars a month, we could listen to Kennedy's heartbeat and record it. We opened the box, and within ninety seconds we were listening to her heart. It was the sound of a horse at gallop. We could even hear the "wind in the trees" — some other sound from inside. It was great.

This monitor also let us record the heartbeats to a computer. So I did. What you hear below is the first time we recorded her.

May 27, 2005
· · ·
Chapter Three

That Summer

Kennedy was born on October 10th, 2005. So when I think back, the conversations I had with the doctors — they must have been before that. I don't know exactly when they figured it out, but it was early, in those first three or four months. If I count back nine months from October, that's January. Which means it must have been April or May when things started to become clear.

I went into the summer already carrying the weight of it. What I remember most is leaving the office after an ultrasound where the technician was quiet. And in that silence, I knew. Something was wrong.

I don't remember the exact phone call, or the exact moment someone told me Trisomy 18. But at some point, I knew. I accepted it. And that's when I went to talk to the doctors at Phoenix Children's Hospital. They told me what to expect. I went online, searching for others who had gone through it. This was twenty years ago, so the internet was different. But I went down that rabbit hole anyway. And what I came to realize was simple and crushing: Kennedy wasn't going to make it.

June 13, 2005

I protected Kristin from knowing. I carried it quietly. I found a funeral home. Uncle Randy came with me. Together we walked in, and I began making plans no parent should ever make.

The plans meant picking out a casket. I had never been in a funeral home before. I was twenty-six, maybe twenty-seven years old, sitting there for the first time in my life, and I was picking out a little pink casket for my daughter.

That's when I met Steve Takesian. He was the funeral director, the man who was about to sell me a casket and a burial plot and all the other pieces. I had to explain to him that the person we were burying hadn't even been born yet — and hadn't passed yet. It didn't take long for him to realize this was a baby. He saw the sensitivity of it.

For some reason, I wore my Masonic ring that day. I was sitting there at the table, Randy next to me, both of us staring at this booklet of caskets. My hands were folded, my ring showing. Steve looked down and noticed.

"Oh, you're a Freemason," he said.

"Yeah," I replied, my voice heavy.

"I am too."

I looked up at him, and I remember it like it was yesterday. In that moment, I felt safe. I knew I would be taken care of. And I was.

It didn't make the situation better. It didn't change any of the facts. But it made the hard part less crushing. From the moment Steve said that, I knew he was going to help me, that he was going to make sure I was okay.

· · ·
Chapter Four

The Waiting

This morning, right away, we needed to hear Kennedy's heart beating, and we could. It was easily found, and she was moving around so much we could hear an arm or leg go in front of the signal as it made a "scratch" noise.

June 5, 2005

Although it was hard, and we thought about it every moment, we were doing well. We spent most of the day outwardly happy and spending time with big sister Kristin. Kristin thought about Kennedy every moment. She was constantly trying to make Kennedy laugh and give her a pillow or a toy. It had been such a blessing.

What were we hoping for? We really wanted to make it to birth. We wanted to make it to the point where Kennedy was born and able to be held and see and hear her loving family before she moved on. We wanted to show that Kennedy was real and a person and alive and a part of Team Huber.

Selfish? I don't think so.

June 22, 2005

I felt Kennedy move for the first time one night. There was no question. I certainly felt a knee or foot or something kick. It wasn't such an amazing thing that I could feel her move — her mother told me all the time that she was moving. It was amazing that I could feel her.

To that kick I said: "She is going to make it." I had always hoped and prayed, but now I believed. Call me fooled, but I believed that we were going to share some special times looking into each other's eyes.

Things I had taken for granted until recently: Birthdays — I just wanted her to have one, even if only the day she was born. Hugs. Eye contact. A baby's cry. Blinking. Diapers. Okay — everything.

July 8, 2005

We were nearing the seven-month mark, and that was a big deal. A live birth was our goal. After that we would hope for an hour. Then a day, then a week, then a month. It was true but sad that I just couldn't imagine us getting a month with Kennedy after all we had learned. But what an amazing month it would be.

Kennedy's family was happy. Remember, the smile on my face wasn't fake, and I wasn't hiding any emotions. We were happy and sad at times. The more we were happy, the better off we all were. But we weren't faking it.

July 25, 2005

Some days were harder than others. Yesterday baby wasn't moving at all, so we checked her heartbeat. It was normal. Still, it was odd that Kennedy didn't move as much as she usually would have. We were both worried. We could only hope she'd move more the next day to show she was doing okay in there.

The ultrasound didn't show any new problems. Kennedy was now one pound, fourteen ounces. A little small, but still where we should expect. The doctor was much nicer this time — actually telling us she expected us to go to term. She mentioned we should expect a short lifespan, but other than that, it was positive.

Aug 13, 2005

I keep thinking of when I golf with Kristin, how Kennedy will most likely not have the opportunity to do the same thing. Then I think how we could bring Kennedy along and she would certainly enjoy watching her sister play. But unfortunately, I realize the chances of me holding her alive long enough for that are so slim. Her being five and watching her nine-year-old sister golf — it just won't happen.

Just making it through the birth and praying for a cry is so hard to imagine. I can't allow myself to think that she will come out and look at me like Kristin did.

· · ·
Chapter Five

The Dream

Last night I had another dream about Kennedy. I do not pride myself on my writing, so please just read it and try to experience it. I assure you it is as strange as it gets and it is completely true as I remember it.

I was in an unknown location that felt familiar. It was my home, but didn't look like any home I have ever had. I was given a backpack of sorts containing Kennedy, alive, in a womb inside the backpack. I was able to actually feel my daughter — her arms and legs — and I was happy to be so close to her.

Within seconds, as dreams go, Kennedy was out and in my arms. She was an older baby, able to be held by the hands on my legs. And then I looked at her hands.

Her hands were perfect. The scene changed to her lying down and grasping at my fingers. I came to the realization that her hands were open, and I was surprised by this more than anything else in the dream. I remember her newborn hands with cracked skin, fingernails a little too long. But open. Not closed, not clenched.

Sadly, I woke up.

Sep 3, 2005
· · ·
Chapter Six

Prepared

It might seem strange, but at that point, the funeral was already set. Can you imagine? Your baby isn't born yet, and you've already picked out a casket. Even now, when I say it, I can barely believe it.

He was there, and he knew too — this baby wasn't born yet, and still, I had already chosen a casket, a plot, and the rest of the things you do when a person passes.

I want to say it was on the advice of the doctors, that someone told me I had to. But that's not true. I did it because I knew. I had read enough, I had looked online, and I understood the probability. It wasn't just possible — it was the most likely outcome. Steve knew that as well. My friend Steve. He talked about it plainly: we didn't know when it would come, but it would come.

So I prepared.

That's how I've always been. Even with things like travel, I prepare. And in this case, it soothed me. I couldn't change what was coming, but I could take care of the parts that were mine to take care of. So I did.

I remember the drives to the funeral home and back. I remember sitting in the office, talking with Steve, walking through the building, looking at the plots. The details are still sharp, though the edges of the conversations have blurred in the twenty years since. I don't remember what Randy said or didn't say, only that he was there.

When I left that funeral home, I walked out knowing something with absolute certainty: when the time came — and I was certain it would — I would be ready.

I think this must have been two months before Kennedy was born. August, maybe. And maybe that's why this time of year still hits so hard. Because this was the season of preparation. This was when I was carrying it all, getting ready for what I knew was coming.

Aug 30, 2005

Dr. Mary Allare at Phoenix Children's had continued to be a source of hope. She was on the phone all day for me and my family and actually cared. She answered all of my questions, looked over the birth plan, and took forty-five minutes just to talk with me about everything that would happen. She was very concerned and caring and compassionate. She didn't do one thing I felt she needed to — she did everything. She gave me confidence that the doctors and the hospital wouldn't add any strain to the process.

Thank you, Dr. Allare. You were one of the few that were kind over those months.

Sep 29, 2005
· · ·
Chapter Seven

The Birth Plan

I vaguely remember being at Phoenix Children's Hospital, sitting with the two doctors. They told me I needed to come up with a birthing plan. I'm sure I still have it somewhere. What I do remember is that I had a plan, and I handed it to the nurses.

The poor nurses. They had to deal with this too.

The plan included a do-not-resuscitate order. What vitamins to give her. Nothing extreme. But if Kennedy was born not breathing, I wasn't going to do painful, aggressive procedures to keep her alive, knowing what I knew.

That wasn't because I didn't believe in children with disabilities. Quite the opposite. My mom had always taught me that kids with disabilities were special. I had friends like that growing up — in elementary school, in high school — and we welcomed them, we liked them. "Special" meant we treated them with kindness, with understanding. It meant we paused to see them in a different light. My children know this too.

And Kennedy was special.

So I made a birthing plan for her. I wrote it myself. It was detailed. It said "do not resuscitate," who should hold her first — her mother — and other details that mattered, because we knew this wasn't going to last long.

I carried copies of that plan with me. When we got to the hospital, I gave them to the nurses as if they were legal documents. I pleaded with them. I was kind. I said, please, I'm sorry, can we follow this as closely as possible? And they said yes. They kept the plan, they honored it.

Kennedy's Birth Plan

Kennedy has Trisomy 18. This is usually fatal for the fetus before one year and usually much earlier. This is our plan for Kennedy's birth.

Kennedy is a blessing for her family and her big sister Kristin. It is important that you refer to her as Kennedy. Her mother should be in contact with Kennedy at all times. Our wish is that if she dies, a parent is holding her. We ask that all possible procedures be performed in our presence or delayed. Our intent is to provide comfort care for Kennedy with minimal intervention.

We desire no mechanical ventilation at any time, no CPR at any time. Rather, immediately after birth, perform standard suctioning, rubbing, and vigorous drying to aid in her respiratory and cardiac efforts.

  1. Assess Kennedy's respiratory effort after drying, warming, and suctioning.
    • a) If no respiratory effort, do not try to resuscitate. Give her to Mother or Father.
    • b) If she breathes reasonably well, give her to her mother. Other procedures are to be delayed until after the family has spent time with Kennedy and certainly after the baptism has taken place.
  2. Comfort care (DNR) orders are instituted at this point.
  3. We desire that Mother or Father be holding her at all possible times.
  4. We desire no warming tables — instead use warm blankets to keep Kennedy with her mother as much as possible.
  5. We desire that no procedures be performed without parents' presence.
  6. We desire full rooming in — no NICU, no transition nursery.
  7. We desire that Jason bathe Kennedy himself.
  8. If Kennedy stabilizes, we desire to take her home as soon as possible on comfort care.

In case of death: If Kennedy dies during our stay, please notify staff members as soon as appropriate. If she dies before being bathed, we desire to bathe and dress her ourselves. After she dies, we desire that Kennedy be with us as long as we desire.

Kennedy's name — Kennedy Ann Elizabeth Huber — must be on the birth and death certificate.

· · ·
Chapter Eight

Her Arrival

We were scheduled to be induced Friday, October 7th, 2005 at noon. We had been talking to Kristin, our four-year-old, and telling her that baby might not come home. She really didn't get it because she kept talking about "but when she DOES come home then..." and we couldn't disagree with her. She understood that something might be wrong with baby which would make her go up with Jesus. She started asking spontaneous questions and talking about how she wanted baby to come home for sure.

Who would have thought that going to church would have made us miss our chance? I was sitting in church and my phone rang. I paged the number as requested. They gave the bed away. Then another call — a bed was available. Stay tuned.

Oct 8, 2005 — two days before she was born

Kennedy arrived at 12:09 AM on October 10th, 2005. She weighed 3 pounds, 11 ounces. She was 15.5 inches long.

The staff at Banner Good Samaritan were outstanding. The delivery started and was complete in eleven hours. Kennedy came out and we thought we had only seconds. I could barely stand. One moment her mother was pushing and the next she was out.

She was beautiful. Absolutely gorgeous. The prettiest baby I had ever seen. Not tiny, not big — just perfect. Her legs were crossed, her fists clenched tight. She was trying so hard.

I don't remember who cut the cord. I don't care. What I remember is her beauty. They handed her to her mother first, just like I asked. She was wrapped in a blanket, warm. She was loved.

There are gaps in my memory from that time. But what stays with me, even twenty years later, is how beautiful she was. How much she tried.

She was my baby. She was so pretty. So, so pretty.

If you're reading this, this is the place to pause.

Don't read further unless you're willing to carry what I had to carry.

What follows is the hardest part. There's no comfort in it, no positive spin.

It just gets hard.
Chapter Nine

The Longest Day

We were heading home. I drove up I-17 to the house, my mind racing. I didn't know what the next 24 hours would hold, but I would soon learn they'd be the most horrific, tiresome, and tragic hours of my life. They would shape me in ways I wouldn't understand for years.

I pulled into the garage and closed the door. The neighbors didn't know. They knew we were pregnant, but they didn't know what had happened. From the outside, it looked like we were just bringing a new baby home.

Inside the house, Guinness, our dog, was curious. He wanted to meet her. Kristin, just five years old, came over to look at her baby sister. Kristin had all the hope in the world, and that was hard. Because I knew what was coming, and there was nothing I could say to a five-year-old to prepare her. You just let it happen.

Kennedy would turn black every twenty minutes. That's the only way I can describe it. Her entire body would turn almost black, not purple, but ink-dark, as if all life drained from her. And then, maybe ninety seconds later, she'd gasp. She'd fight her way back.

The mechanics of it were something I hadn't been prepared for. Every three hours, we tried to feed her with a tube — what they call gavage feeding. It was technical, it was difficult, and sometimes I couldn't get it right. I'd push it up instead of back, and there'd be a trace of blood on the end. Carol and I couldn't bring ourselves to eat until after Kennedy was content, until we knew she was okay. When I couldn't get the feeding tube in, we waited. We were both exhausted beyond measure.

But the breathing episodes — those were what dominated those hours. Every time she turned dark, every time she gasped, every time she fought back to life, I was there watching. I was there witnessing her struggle. The gasping would last for minutes. Five, ten, sometimes longer. Then slowly, color would return to her skin. She'd rest. And we'd wait for the next time.

Imagine a four-pound baby gasping herself back to life, every twenty minutes. That's what happened. Over and over, for the next twenty-four hours.

At first, I placed her in the cradle, trying to do the "normal" thing. But it wasn't right. I was exhausted. Terrified. At some point, I fell asleep for a couple of hours. I regret it to this day.

When I woke up, I took Kennedy into my arms. She was so small, I held her on a little pillow to protect her back. And I sang to her. One song, the only song I'll never sing again. I sang it to her for hours. Over and over. Through the night. Just she and I.

And every twenty minutes, as I sang, she would turn black. And then she would gasp herself back to life.

She tried so hard. Harder than anything I've ever seen in my life. Her body fought to live, every twenty minutes, fighting back against what was inevitable.

She tried so hard.

· · ·
Chapter Ten

Her Last Day

When the sun came up, she was still fighting. Kristin came back over. She was so excited to see her baby sister. She had all the hope in the world. But she didn't understand why I had to rush Kennedy out of the room whenever an episode came on. She didn't understand, and I think she was mad at me. She thought we were doing something to her sister.

The doctors had prepared me for this part. They explained that Kennedy's body was fighting a reflex — jolting itself awake each time it began to shut down. They gave me what I needed to ease that fight. To let her rest.

After that, the gasping stopped. She was peaceful. She was still. She was warm in my arms.

Sometime in the afternoon, she passed. I had a stethoscope, one my mom had given me. I went to my knees on the floor, put it to Kennedy's tiny chest, and listened. No heartbeat.

We had time with her, after she passed. Time holding her, even as she was no longer breathing. I bathed her myself — carefully, gently, the way you would any newborn. I dried her off and swaddled her again. She was so small, but still so pretty.

And then I sat on the couch and held her, and I waited.

· · ·
Chapter Eleven

Letting Go

This is where the hard part begins. Harder than anything before.

Watching your daughter turn black every twenty minutes and then gasp herself back to life — this tiny four-pound baby fighting over and over — that was unbearable. And then, when it ended, when the gasping stopped, you knew. You knew what had happened. You knew the choices you had made. You knew this was the path.

At the time, you don't realize how much it will shape you, how much it will mark the rest of your life. But it does. And it should.

So there I was, at home, with my beautiful baby swaddled, gone. There was nothing more I could do. I had made the choices I could make. Now it was over, and the only thing left was what comes after — the funeral.

I called Hospice of the Valley. I called the funeral home. They told me they would send people.

And then came the hardest thing I have ever done in my life.

The funeral home arrived — a man, and a woman with him. She was kind, tall, skinny. They came into the house first, gently, making sure of what had happened. Then they went back out to their white van and said, come out when you're ready.

At some point, I carried Kennedy out on a blanket. I handed my daughter to that woman. She was sitting in the van. I was standing there in the driveway. She was distraught too, as anyone would be. I remember taking two steps back. I don't remember the door shutting. I don't remember how I walked back into the house.

What I do know is I lowered my head, walking back inside without my child.

And then — nothing. Nothing until the funeral.

· · ·
Chapter Twelve

The Funeral

The funeral for Kennedy was beautiful. Kristin and I were picked up by a black limo and driven to Phoenix Memorial Park and Mortuary and back. The flowers that everyone sent were just great.

Kennedy looked as beautiful as ever. Her hair was soft blond curls. Her hands were out and soft as ever. She was sleeping and at peace. We were able to spend another full hour with our daughter.

Kennedy gave us everything we had hoped for and more. She was perfect. There was nothing wrong with her in the least. She wasn't able to stay with us, but she tried so very hard.

Steve Takesian — the funeral director I had met months earlier, the Freemason who had seen my ring and made me feel safe — he took care of everything, just as I knew he would. We remained friends for the next twenty years, until Steve passed in 2025. Some people come into your life at the exact moment you need them. Steve was one of those people.

· · ·
Chapter Thirteen

After

Kristin and I visited Kennedy's grave. It was in a very nice location, still covered with the grass that was removed. It was hard to see the grave with no headstone. Kristin had a good time placing flowers, and we talked about what we were doing the whole time.

It was still as hard as ever thinking back on what had passed. Nothing made it easier. We certainly didn't cry as much, but we tended to walk around in a trance. Kristin helped. She kept us focused and talked openly about Kennedy.

I took the baby carriage apart that weekend. It was just sad, since that was one of the last things around that was hers — or meant for her. We only laid her there for thirty seconds or so. The nurse had told us to make sure and lay her down and get some sleep. I am glad we didn't listen. I am happy that we made good choices, like not laying her in the carriage alone for any period of time. I shiver to think of the minute she was lying there without her parents immediately to her side.

I hate to feel like I am losing what I can remember of Kennedy. It is harder to remember the details and some of the joys we had. It almost seems easier to remember the lows.

You walk around with a regret and an anxiety that you forgot something. It is like when you are lying in bed and you think you left your garage open. You have to get up and check, right? Well, there is nothing to check. You feel as if something was forgotten or lost, and you can't get up and check anything.

You feel as if you let your child down. You couldn't be a real dad to her. You just weren't. You were not capable of giving her what she needed. I couldn't feed her. It just doesn't make you feel good at all, and you question everything you did in those forty-two hours.

I can remember her coming out and my amazement at how beautiful she was. How strong she sounded and perfect she seemed. I can only imagine her looking at me and wondering each time she stopped breathing, why don't you do something to make it better? It must have been a simple feeling, since she was a baby, of longing for her Dad or Mom to just help.

And then her eyes became less focused. She stopped following your face and voice. Her movements became less as the episodes became longer.

Do we think about Kennedy every day? Absolutely and without exception. Some people would say we will learn to forget, or it will get better over time. I know that I am not that type of person. That will not happen for me. I will remember as vividly, and be as sorrowful and regretful and grateful, the day before I die as I am today.

— From the blog, one year later

· · ·
One Year Later

October 10, 2006

Today is the first anniversary of Kennedy's birth.

For those of you who have been around to watch her grow and were there when she passed, thank you.

Our only plan for our daughter today on her birthday is to visit her grave. We can pay our respects and share that we love her.

There really isn't anything profound to say a year later. Carol and I have learned to live like Kennedy was a part of our lives and to not try and act like she wasn't around or it didn't happen to us. We share with coworkers the fact that today would have been her first birthday and that she is now gone.

In the years that have followed, Kennedy remains part of our family. She always has been. She always will be.

· · ·

From Kennedy

Dear Mommy and Daddy

I just wanted to let you know,
That I made it home.
The journey wasn't take too long.

Everything is so pretty here,
So white, so fresh and new.
I wish that you could close your eyes,
And that you could see it too.

Please try not to be sad for me...
Try to understand.
God is taking care of me...
I'm in the shelter of his hands.

Here there is no sadness,
No sorrow and no pain.
Here there is no crying,
No hurt for us again.

Here it is so peaceful,
When all the angels sing.

I really have to go now—
But I'll see you again someday.
I love you so very much.

— Kennedy

· · ·
For Parents

If You're Walking This Road

If you're here because your baby has been diagnosed with Trisomy 18 — or Trisomy 13, or another condition they've told you is "not compatible with life" — I want you to know something: you are not alone. And the decisions in front of you are yours to make.

Twenty years ago, when I was sitting where you're sitting, the internet was different. There weren't many places to go. I searched and searched, and most of what I found was clinical, or worse, hopeless. I'm writing this so that you can find something real.

Here's what I learned:

Prepare. It sounds impossible — planning a funeral for a baby who hasn't been born. But it was the single thing that gave me control when everything else was out of my hands. Find a funeral home early. Find someone kind. You'll know when you've found the right person.

Write a birth plan. The doctors at Phoenix Children's Hospital told me to, and it was the best advice I received. Write down exactly what you want. Who holds her first. What procedures you do and don't want. Bring copies. Hand them to the nurses and say, please. They will honor it.

Record everything. I rented a fetal heart monitor from BabyBeat for $50 a month. We recorded Kennedy's heartbeat dozens of times. I still have those recordings, twenty years later. You're listening to them on this page. Get the monitor. Record the heartbeat. You'll be glad you did.

Tell people, or don't. We kept it quiet at first. Eventually, I started a blog. People I had never met left comments that I still read today. Do whatever feels right, but know that people will surprise you with their kindness.

Hold your baby. When Kennedy was born, the plan said she should be held at all times. No warming table. No NICU unless absolutely necessary. Warm blankets. Her mother's arms, then mine. We got to bring her home. I sang to her all night. I bathed her after she passed. Those are the things I carry with me, and I wouldn't trade them for anything.

Let your other children be involved. Kristin was five. She didn't fully understand. But she met her sister, she held her sister, and twenty years later, Kennedy is still her sister. Don't hide it from them. They're stronger than you think.